+7 495 737 44 66
Пн. - пт.: с 9:00 до 21:00
Сб.: с 9:00 до 18:00
улица Новый Арбат, 30/9,
Россия, Москва

Пн. - пт.: с 9:00 до 21:00 Сб.: с 9:00 до 18:00

+7 495 737 44 66

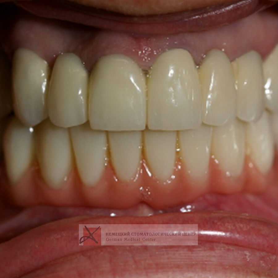
На нижней челюсти были удалены все зубы, установлены 4 импланта.

Результат лечения

Обсудите свои стоматологические проблемы с доктором Немецкого Стоматологического Центра! Он подберёт оптимальные пути их решения.